Skip to main content
何を学びたいですか?
サインイン
今すぐ参加
サインイン
Menu
私のプロフィール
私のコース
Admin Courses
サインアウト
Main navigation
ホーム
コース
ウェビナー
Product Training
ツールキット
Menu
Sonositeのリソース
追加のリソース
Eライブラリー
寄稿者
お問い合わせ
日本語
English
Español
Deutsch
Français
简体中文
日本語
English
Español
Deutsch
Français
简体中文
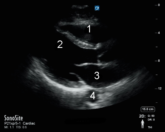
心臓Parasternal Long Axis (PLAX)画像を見る
心臓Parasternal Long Axis (PLAX)画像を見る
右心室 (RV)
左心室(LV)
左心房(LA)
大動脈 (Ao)