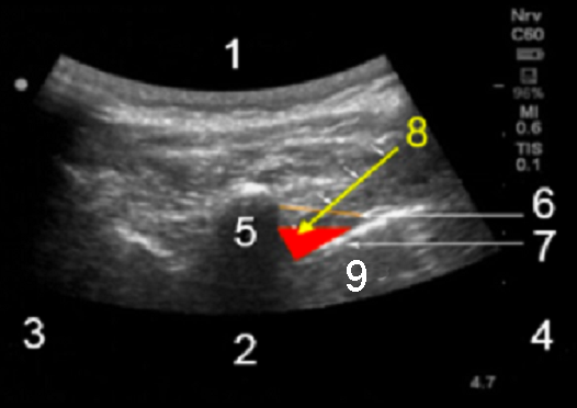
Paravertebral Sonoanatomy Image

Paravertebral Sonoanatomy Image

  1. Posterior
  2. Anterior
  3. Medial
  4. Lateral
  5. Transverse process
  6. Internal intercostal membrane
  7. Pleura
  8. Yellow Arrow: Needle projection into PVS (red triangle)