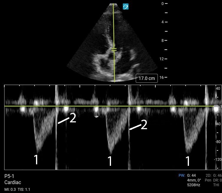
Cardiac 2 Determination of Stroke Volume VTI PW Doppler Image

Cardiac 2 Determination of Stroke Volume VTI PW Doppler Image

  1. Velocity Time Integral (VTI)
  2. Closing Snap from Aortic Valve