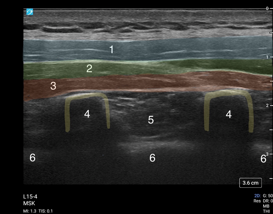
ESP Block Anatomy Image

ESP Block Anatomy Image

  1. Trapezius Muscle
  2. Rhomboid Muscle
  3. Erector Spinae Muscle
  4. Transverse Process
  5. Paravertebral Space
  6. Pleura