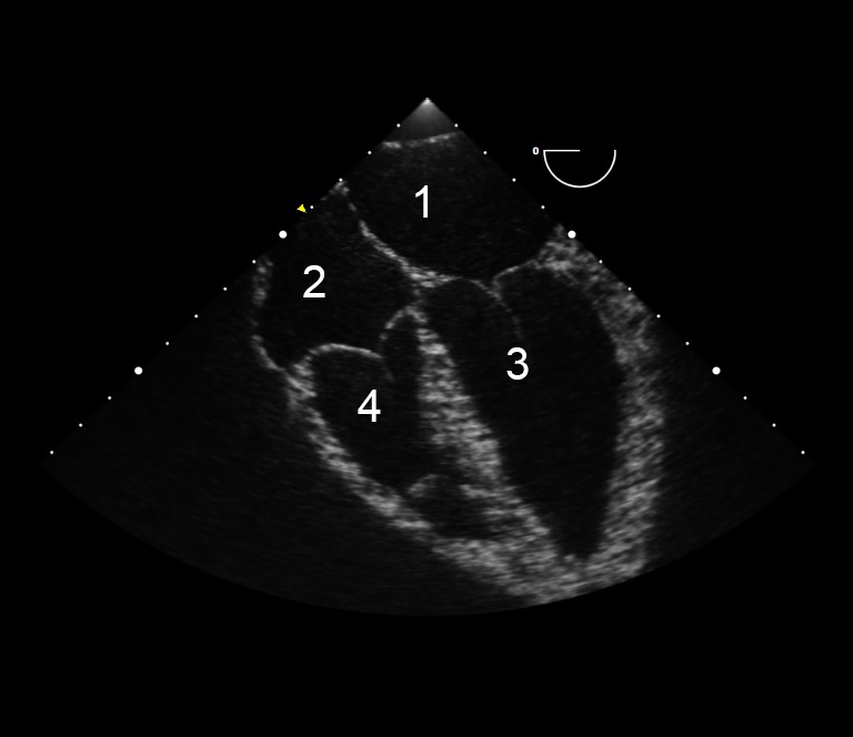
TEE Resus Mid-esophageal 4 Chamber 2 IU Image Left Atrium Right Atrium Left Ventricle Right Ventricle