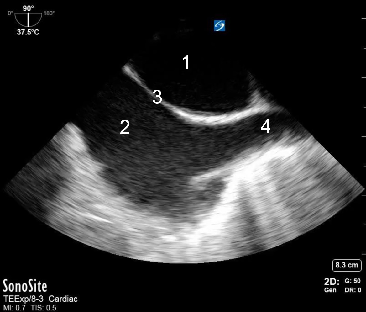
TEE Resus Mid-esophageal Bicaval Image

TEE Resus Mid-esophageal Bicaval Image

  1. Left Atrium
  2. Right Atrium
  3. Interatrial Septum (IAS)
  4. Superior Vena Cava (SVC)