Neonatology Mastoid Fontanel – Anterior Coronal View Image

Neonatology Mastoid Fontanel – Anterior Coronal View Image

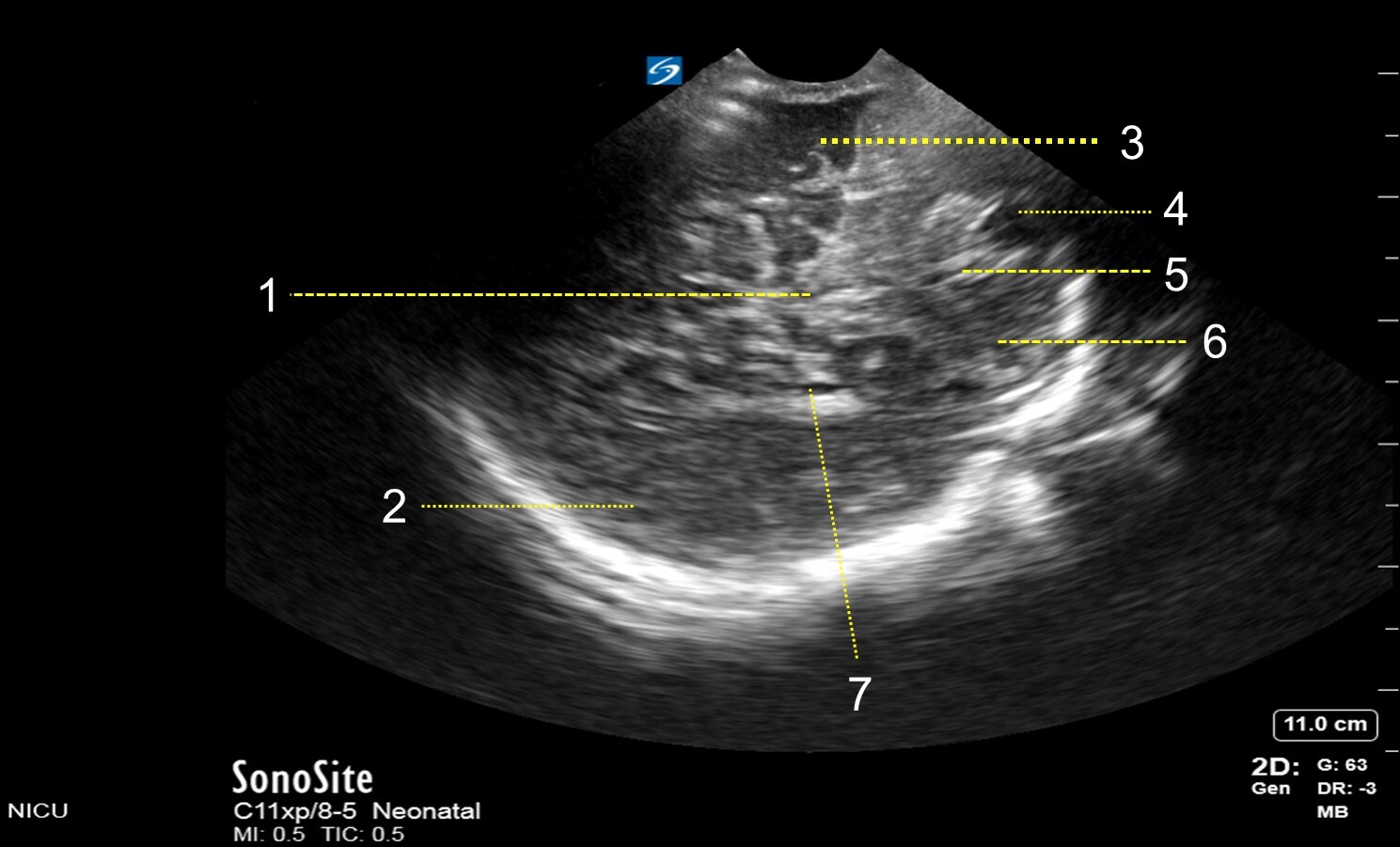
  1. Cerebellar Vermis
  2. Parietal Lobe
  3. Temporal Lobe
  4. Cisterna Magna
  5. Foramen of Magendie
  6. Cerebellar Hemisphere
  7. Temporal Horn of Lateral Ventricle