Neonatology Mastoid Fontanel – Inferior Transverse View Image

Neonatology Mastoid Fontanel – Inferior Transverse View Image

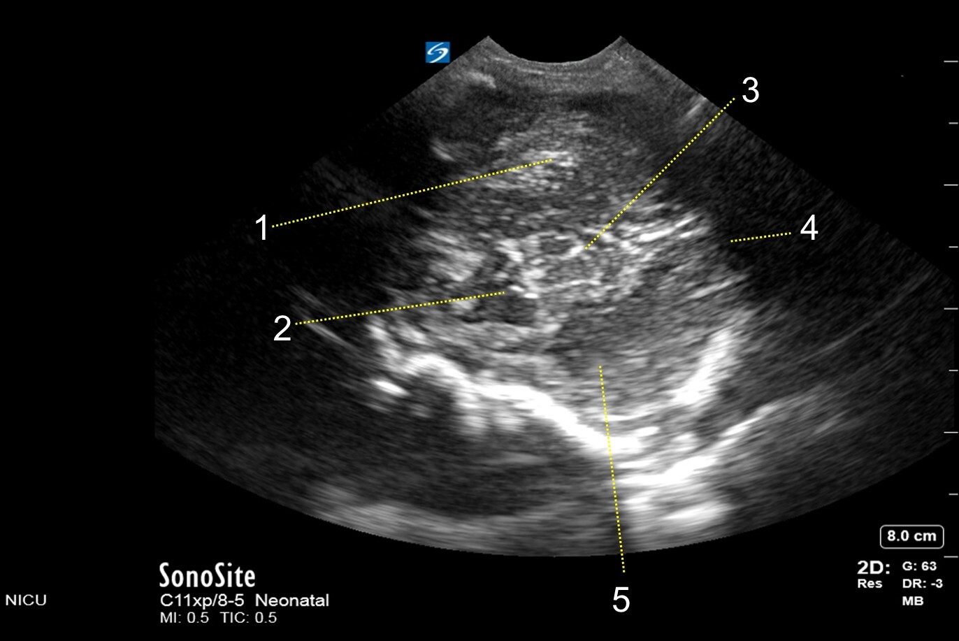
  1. Cerebellar Folia
  2. Medulla Oblongata
  3. Cerebellum & Vermis
  4. Cisterna Magna
  5. Cerebellar Hemisphere