Neonatology Mastoid Fontanel – Mid-Transverse View Image

Neonatology Mastoid Fontanel – Mid-Transverse View Image

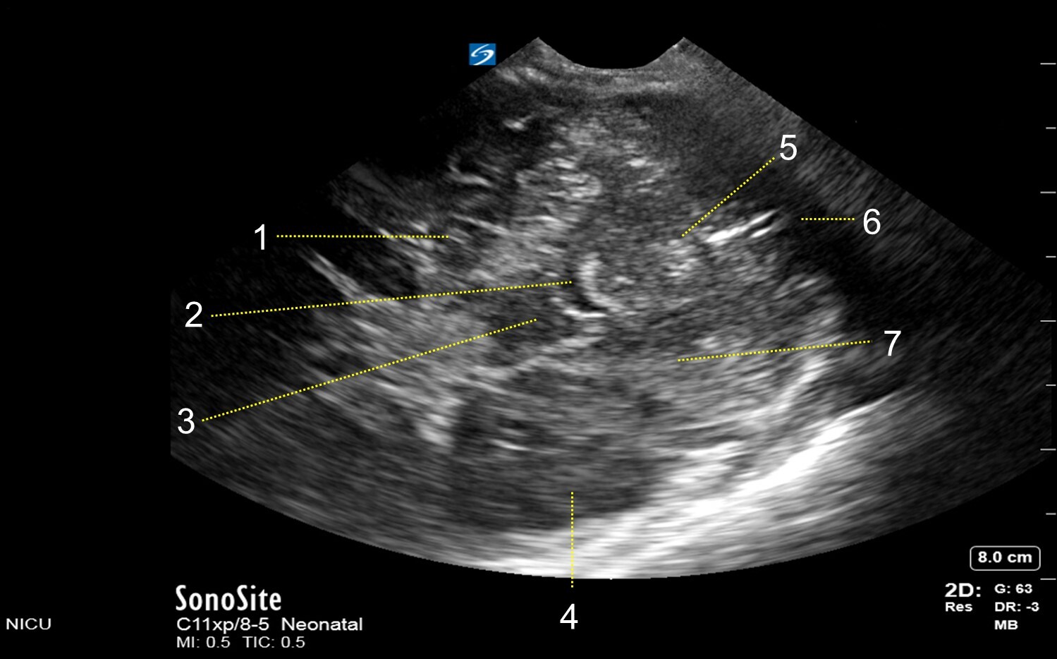
  1. Temporal Horn of Lateral Ventricle
  2. 4th Ventricle
  3. Pons Temporal Lobe
  4. Temporal Lobe
  5. Cerebellar Vermis
  6. Cisterna Magna
  7. Cerebellar Hemisphere