Neonatology Mastoid Fontanel – Posterior Coronal View Image

Neonatology Mastoid Fontanel – Posterior Coronal View Image

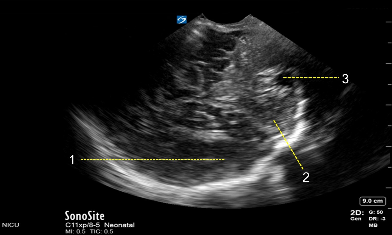
  1. Parietal Lobe
  2. Cerebellar Hemisphere
  3. Cisterna Magna