Neonatology Posterior Fontanelle Inferior Coronal View Image

Neonatology Posterior Fontanelle Inferior Coronal View Image

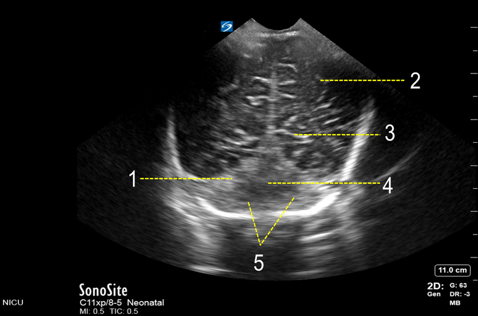
  1. Tentorial Area
  2. Occipital Lobe
  3. Calcarine Fissure
  4. Cerebellar Vermis
  5. Cerebellar Hemisphere