Neonatology Posterior Fontanelle Mid-Sagittal View Image

Neonatology Posterior Fontanelle Mid-Sagittal View Image

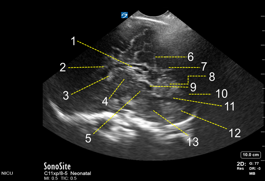
  1. Tectal (quadrigeminal)
  2. Corpus Callosum
  3. Fornix
  4. Third Ventricle
  5. Mesencephalon
  6. Parieto-occipital Fissure
  7. Calcarine Fissure
  8. Cerebellum
  9. Mesencephalic Aqueduct
  10. Cisterna Magna
  11. Fourth Ventricle
  12. Medulla Oblongata
  13. Pons