Neonatology Posterior Fontanelle Para-Sagittal View Image

Neonatology Posterior Fontanelle Para-Sagittal View Image

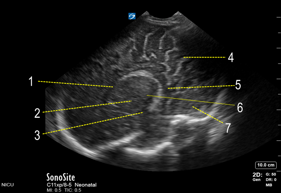
  1. Body of Lateral Ventricle
  2. Basal Ganglia
  3. Temporal Horn of Lateral Ventricle
  4. Parietal Lobe
  5. Occipital Horn of Lateral Ventricle
  6. Thalamus Calcarine Fissure
  7. Occipital Lobe