Neonatology Posterior Fontanelle Superior Coronal View Image

Neonatology Posterior Fontanelle Superior Coronal View Image

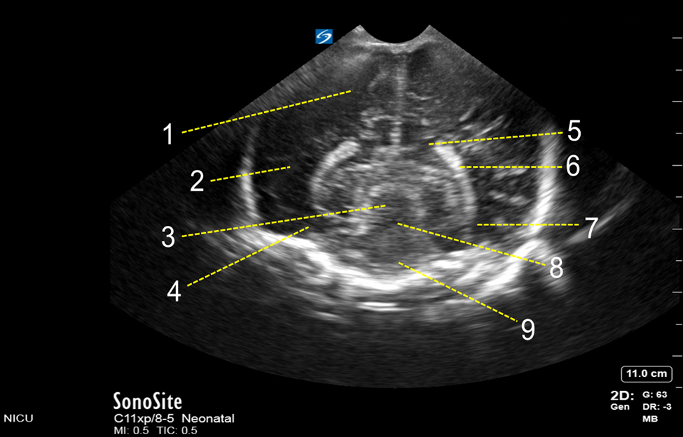
  1. Occipital Lobe
  2. Parietal Lobe
  3. Mesencephalic Aqueduct
  4. Temporal Lobe
  5. Occipital Horn of Lateral Ventricle
  6. Choroid Plexus
  7. Body of Lateral Ventricle
  8. Mesencephalon
  9. Interpeduncular Cistern