Neonatology Temporal Bone High Transverse View Image

Neonatology Temporal Bone High Transverse View Image

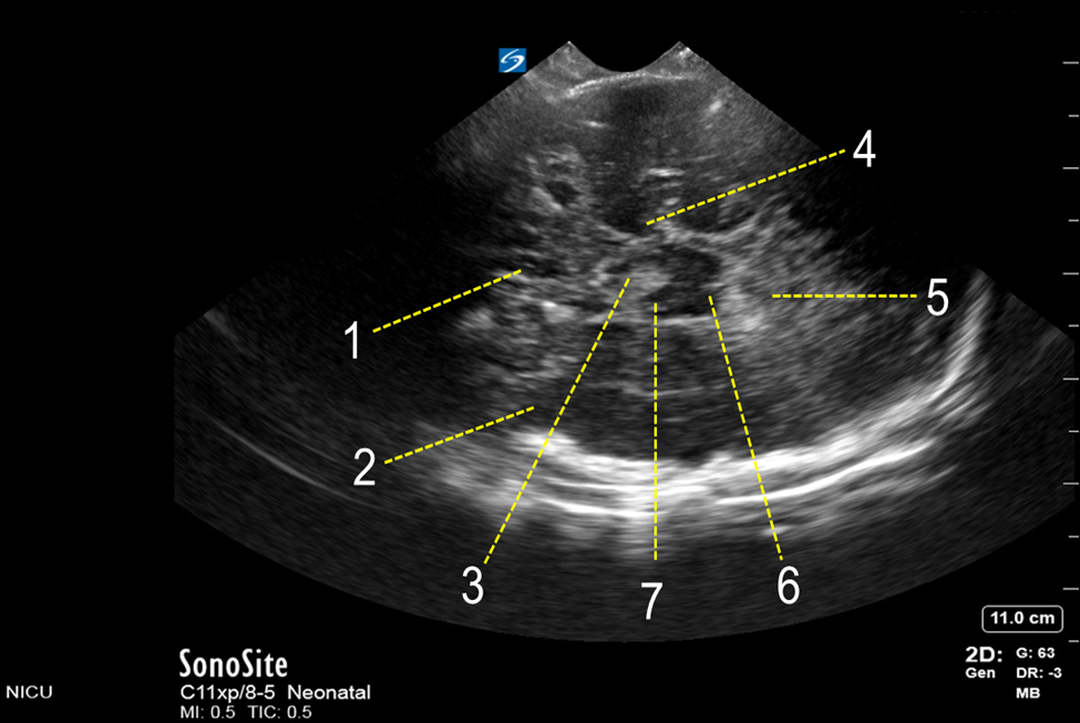
  1. Third Ventricle
  2. Temporal Lobe
  3. Interpeduncular Cistern
  4. Temporal Horn of Lateral Ventricle
  5. Cerebellar Vermis
  6. Mesencephalon
  7. Cerebral Peduncle