Neonatology Temporal Bone Transverse Basal View Image

Neonatology Temporal Bone Transverse Basal View Image

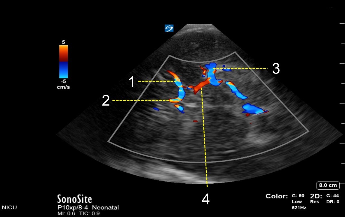
  1. Middle Cerebral Artery (MCA)
  2. Anterior Cerebral Artery (ACA)
  3. Posterior Cerebral Artery (PCA)
  4. Posterior Communicating Artery (PCOM)