Neonatology Anterior Cerebral Artery and its Branches Image

Neonatology Anterior Cerebral Artery and its Branches Image

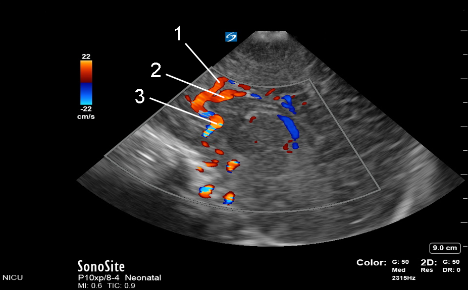
  1. Callosal Marginal Artery (aCM)
  2. Pericallosal Artery (aPC)
  3. Anterior Cerebral Artery (ACA)