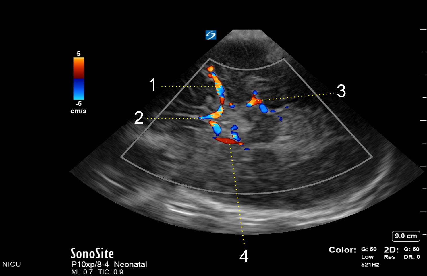
Neonatology Circle of Willis Doppler Image

Neonatology Circle of Willis Doppler Image

  1. Middle Cerebral Artery (MCA)
  2. Anterior Cerebral Artery (ACA)
  3. Posterior Cerebral Artery (PCA)
  4. Posterior Communicating Artery (PCOM)