Neonatology Inferior Sagittal Sinus and Internal Cerebral Vein and its Course Image

Neonatology Inferior Sagittal Sinus and Internal Cerebral Vein and its Course Image

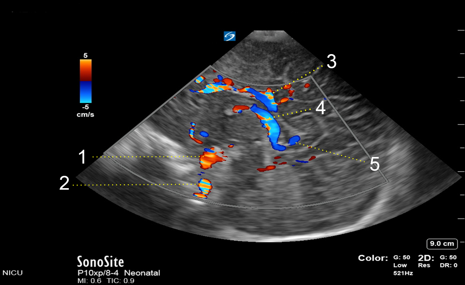
  1. Anterior Cerebral Artery (ACA)
  2. Internal Carotid Artery (ICA)
  3. Inferior Sagittal Sinus (ISS)
  4. Internal Cerebral Vein (ICV)
  5. Vein of Galen (VOG)