Neonatology PVHI Infarction Area Image

Neonatology PVHI Infarction Area Image

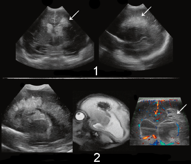
  1. The top images show limited terminal vein area infarction
  2. The bottom images show extensive anterior terminal vein area infarction (above caudate head)